スライダー画像1|岡山市北区の歯医者【グラン岡山歯科・矯正歯科】インプラントから虫歯治療まで幅広く対応 スライダー画像1|岡山市北区の歯医者【グラン岡山歯科・矯正歯科】インプラントから虫歯治療まで幅広く対応
スライダー画像2|岡山市北区の歯医者【グラン岡山歯科・矯正歯科】インプラントから虫歯治療まで幅広く対応 スライダー画像2|岡山市北区の歯医者【グラン岡山歯科・矯正歯科】インプラントから虫歯治療まで幅広く対応
スライダー画像3|岡山市北区の歯医者【グラン岡山歯科・矯正歯科】インプラントから虫歯治療まで幅広く対応 スライダー画像3|岡山市北区の歯医者【グラン岡山歯科・矯正歯科】インプラントから虫歯治療まで幅広く対応

歯周病治療

MUSHIBA
&
SHISHUBYOU

歯周病ってどんな病気?

歯周病は、歯周病菌による感染症です。

歯周病は、歯茎(歯肉)や骨(歯槽骨)など、歯を支える歯周組織が炎症によって破壊される疾患です。その原因はお口の中に潜んでいる歯周病菌で、この菌に感染すると歯茎からの出血があったり、歯を支える骨が溶けてしまいます。

歯周病は、日本人にとって身近な病気で、日本人の約8割がかかっているといわれています。また、歯を失う原因の第1位は、虫歯ではなく歯周病なのです。 歯周病は初期段階では痛みが少なく自覚症状がありません。よって軽度の歯周病は放置されやすく、発見が遅れ、治療も遅れがちになります。末期になってから歯科医院を受診すれば、もう歯を抜くしか治療法がありません。

岡山市北区の歯医者【グラン岡山歯科・矯正歯科】インプラントから虫歯治療まで幅広く対応

また歯周病は、歯を失うだけでなく、心臓病、呼吸器疾患、糖尿病、出産など、全身にさまざまな命にも関わる悪い影響を与えることが明らかになってきています。

前述したように、歯周病は歯周病菌による感染症です。したがって、この細菌を徹底的に除去しない限り、お口は健康な状態になりません。現在では、従来の保険診療の範囲内での歯周病治療だけでなく、歯周病治療薬や電解機能水、レーザーなどを用いて、歯周病の原因となる細菌を殺菌し、歯石除去を行い、さらには失われた骨や歯周組織を回復させる再生治療にも取り組んでいます。

健康な歯を保つために、毎日の歯磨きなどのセルフケアだけでなく、定期的な歯科検診、早期発見、早期治療を行いましょう。症状が進行してから治療するよりも、定期的なメンテナンスを行うことで、あらゆる面で負担を軽減することができます。

また、歯周病を治療するためには、歯周病の原因や治療法を知っておくことが大切です。まずは、歯周病とご自身のお口の中を「知る」ことから始めましょう。

歯周病の原因

歯周病は、歯垢(プラーク)と呼ばれる細菌が原因で起こります。歯垢(プラーク)は黄白色のネバネバした物質で、歯磨きが行き届いていない部分に付着します。

歯垢(プラーク)は、歯と同じ色をしているため見つけにくいのですが、柔らかいので歯磨きで落とすことができます。歯垢(プラーク)を放置しておくと、どんどん固まって歯石になってしまいます。

歯垢(プラーク)は歯石とくっつきやすいので、歯石の上に新しい歯垢(プラーク)がどんどん付着します。これが炎症を引き起こし、歯周病が進行していきます。

歯周病 歯周病治療|岡山市北区の歯医者【グラン岡山歯科・矯正歯科】インプラントから虫歯治療まで幅広く対応

歯周病の症状

・朝起きたとき、お口の中がネバネバしている

・歯磨き時に出血がある

・口臭が気になる

・歯と歯の間に食べ物が挟まりやすい

・硬いものを噛んだ時、歯が痛む

・歯が昔より長くなった気がする

・歯がぐらつく

・歯が浮いたりしている感じがする

・歯茎が赤く腫れている

・歯茎から膿が出ている

以上のような症状がある場合は、歯周病の可能性があります。お早めにご相談ください。

歯周病の進行過程

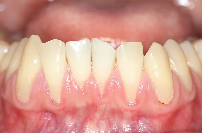
歯肉炎

歯石や歯垢が溜まりはじめ、歯肉(歯茎)が赤く腫れています。また、歯磨きの際に出血することもあります。歯周ポケットは3〜4mmほど腫れています。

歯周病 歯肉炎|岡山市北区の歯医者【グラン岡山歯科・矯正歯科】インプラントから虫歯治療まで幅広く対応

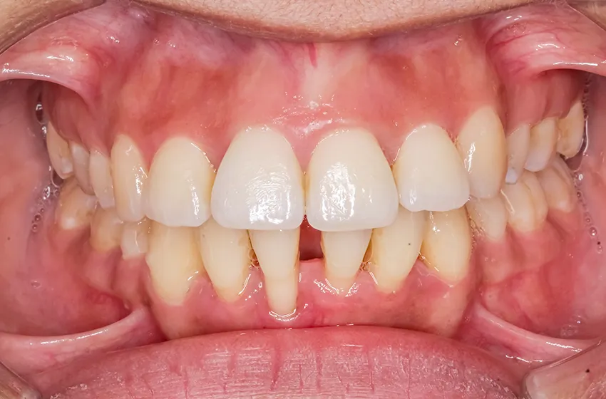
初期型歯周炎

見た目は歯肉炎のようですが、腫れが大きくなり、骨も溶け始めています。歯周ポケットは4〜5mmほど腫れています。

歯周病 初期型歯周炎|岡山市北区の歯医者【グラン岡山歯科・矯正歯科】インプラントから虫歯治療まで幅広く対応

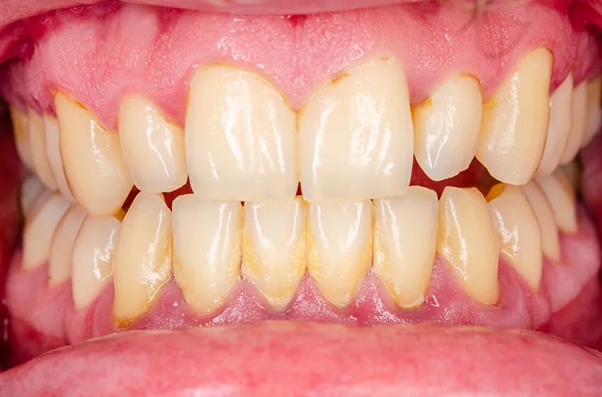
中間期歯周炎

骨が溶けて、歯が動くようになってきます。歯肉が赤く腫れ、口臭や出血、不快感が出てきます。歯周ポケットは5〜7mmほど腫れています。

歯周病 中間期歯周炎|岡山市北区の歯医者【グラン岡山歯科・矯正歯科】インプラントから虫歯治療まで幅広く対応

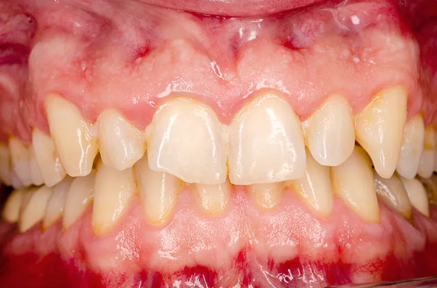
重度歯周炎

歯肉は化膿して真っ赤になっています。歯の根元も歯石で覆われています。歯を支えている骨が大きく溶かされ、歯のグラつきがひどくなり、歯が抜けてしまうこともあります。歯周ポケットは6mm以上に膨れ上がっています。

歯周病 重度歯周炎|岡山市北区の歯医者【グラン岡山歯科・矯正歯科】インプラントから虫歯治療まで幅広く対応

妊婦さんに歯周病が与える影響

歯周病になると、歯茎の毛細血管を通じて歯周病菌が体内に広がり、早産や低体重児のリスクが高まると言われており、妊婦さんに悪影響を与えることが明らかになっています。

また、妊娠に関係なく、歯周病菌が体内に回ると動脈硬化が起こりやすくなり、心筋梗塞や脳卒中、さらには糖尿病にも悪い影響があると指摘されています。

歯周病はお口の環境だけでなく、体の全部に悪い影響を及ぼすので、妊婦さんだけでなく、パートナーや同居するご家族全員が歯周病予防を意識することが必要です。

岡山市北区の歯医者【グラン岡山歯科・矯正歯科】インプラントから虫歯治療まで幅広く対応

歯周病と糖尿病

歯周病と糖尿病は、互いに足を引っ張り合う「悪縁」です。歯周病があると糖尿病が悪化しやすくなります。糖尿病があると歯周病が悪化しやすくなります。

逆も然りで、歯周病の症状が改善されると、糖尿病の可能性も改善されます。ですから、歯周病と糖尿病の両方を患っている方は、積極的に歯周病治療を受けていただきたいのです。

歯周病菌をコントロールすることで、快適に食事をし、健康長寿を目指しましょう。

岡山市北区の歯医者【グラン岡山歯科・矯正歯科】インプラントから虫歯治療まで幅広く対応

歯石を除去して歯周病や口臭を予防する!︎

当院では、豊富な治療メニューと、常に予防を意識した総合的な治療を行っています。 歯石を取ることで歯周病や口臭など様々な病気を予防する効果が期待できます。

当院の歯周病治療

様々な治療法

歯周病のそもそもの原因は 「歯垢(プラーク)」 です。毎日の歯磨きなどのセルフケアで歯垢(プラーク)を除去することは可能ですが、実際には磨き残しもあり、歯垢(プラーク)は完全に除去できていません。時間が経つと「歯垢(プラーク)」は「歯石」となり、歯磨きなどのセルフケアだけでは除去できなくなり、歯周病が進行してしまいます。

また、歯周病になると歯周ポケットが深くなり、歯周ポケットに溜まった歯垢(プラーク)や歯石が歯磨きなどのセルフケアでは除去し辛くなるので、さらにまた歯周病の症状が進行することになるという悪循環に陥ります。

歯周病の治療の際には、歯石や歯垢などの歯周病菌を除菌したり除去する必要があります。この治療には痛みを伴うこともありますが、当院では、痛みや不快感を軽減するために、様々な治療法を取り入れています。痛みが苦手な方、歯周病がなかなか改善されない方など、お気軽にご相談ください。

歯周ポケット検査

歯周ポケット検査とは、歯周病の進行具合や改善具合を確認するために、歯茎を検査することです。

専用の器具を使用し、歯茎の中の状態を調べます。深さを測ったり、歯茎の内側を触ったりして状態を確認します。歯茎の中をていねいに調べることで、歯周病がどれだけ進行しているかや、2回目以降の検査の場合、前回よりどれくらい改善しているかを確認します。

歯周病 歯周ポケット検査|岡山市北区の歯医者【グラン岡山歯科・矯正歯科】インプラントから虫歯治療まで幅広く対応

※歯周ポケット検査とは、歯周病の進行具合や改善具合を確認するために、歯茎を検査することです。専用の器具を使用し、歯茎の中の状態を調べます。深さを測ったり、歯茎の内側を触ったりして状態を確認します。歯茎の中をていねいに調べることで、歯周病がどれだけ進行しているかや、2回目以降の検査の場合、前回よりどれくらい改善しているかを確認します。

歯周内科治療

歯周病の治療で歯石や歯垢(プラーク)などの歯周病菌を除去する際、歯茎が炎症を起こしていると、触っただけで痛みを感じることがあります。

そこで当院では、内服薬で体内の歯周病菌を減らし歯周病を改善する、「歯周内科治療」に力を入れています。

あらかじめ歯周病菌を減らし、歯茎の炎症を抑えておくことで、歯石を取るときの痛みを感じにくくなり、重症でも症状が改善しやすくなります。

3DS

歯に薬剤を直接届ける予防治療(Dental Drug Delivery System)の略で、歯周病リスクの高い方に効果的な除菌方法です。殺菌剤の入った専用のマウスピースを装着することで、歯周病菌を除菌します。歯周内科治療を受けても、あまり効果が感じられなかった方に受けていただきたい治療です。

歯周病 3DS|岡山市北区の歯医者【グラン岡山歯科・矯正歯科】インプラントから虫歯治療まで幅広く対応

重度の歯周病を回復させる再生療法も可能

歯周病が重症化すると、顎の骨が溶けてしまい、歯を抜かなければならなくなることがあります。当院では、重度の歯周病に対する再生療法に、「リグロス」という薬剤を使用し、失われた顎の骨を回復させ、抜歯を回避します。従来の再生療法は自費診療で、高額な治療費がかかりましたが、2017年から厚生労働省の認可を受け、保険診療の範囲で治療が可能になりました。

また、より確実な治療のために、歯周ポケット検査、レントゲン検査、歯の動きの検査、唾液検査、CT検査など、さまざまな検査を行っています。お口の中の状態によっては、マイクロスコープを使用した、より精密な治療も行っています。

治療の流れ

1

カウンセリング・検査

歯周ポケット検査・レントゲン・口腔内写真などで、炎症の程度や骨の状態を確認します。

2

歯周基本治療(クリーニング・歯石除去)

歯ぐきの上・下に付着した歯垢・歯石を丁寧に取り除き、炎症の原因を減らします。

3

初期治療(クリーニング・スケーリング)

歯石・プラークの除去、ブラッシング指導などでお口の環境を整えます。

4

再評価・必要に応じた追加治療

炎症の改善状況を確認し、必要であれば歯周外科治療や再クリーニングを行います。

5

外科的処置・再生療法(必要な場合)

深い歯周ポケットや骨の欠損がある部位には、外科処置や再生療法を行うケースもあります。

6

メンテナンス・定期検診

歯周病は「治して終わり」ではなく、「治した状態を維持すること」がとても大切です。定期的な検診・クリーニングで、再発を予防します。

よくあるご質問

Q:歯周病は治りますか?

A:はい、炎症の改善や進行の停止は可能です。 ただし、一度溶けてしまった骨は自然には元に戻らないため、早期発見・早期治療がとても重要です。 進行度によっては再生療法で回復を目指せるケースもあります。

Q:歯ぐきが腫れたり出血しただけで、歯周病の可能性はありますか?

A:あります。 歯周病の初期症状として最も多いのが、歯ぐきの腫れ・出血・口臭です。痛みがなくても進行していることがあるため、気になる症状がある場合は早めの検査をおすすめします。

Q:歯磨きだけでは治らないのでしょうか?

A:歯磨きはとても重要ですが、それだけでは治せない場合がほとんどです。 歯ぐきの中(歯周ポケット)についた歯石や細菌は、自宅では除去できません。歯科医院でのプロフェッショナルクリーニングが必要です。

Q:どれくらいの期間で治りますか?

A:症状の進行度によって異なります。 軽度であれば1〜2ヶ月、進行している場合は数ヶ月〜半年以上かかることもあります。治療後は定期メンテナンスが再発防止の鍵です。

Q:歯周病治療は痛いですか?

A:基本的に痛みは少なく、必要に応じて麻酔を使用するため安心して受けていただけます。腫れや強い炎症がある場合は、少ししみることがありますが、適切なケアで軽減できます。

Q:治療費はどれくらいかかりますか?

A:歯周病の多くは保険診療で行えます。 ただし、再生療法・レーザー治療など一部は自費となる場合があります。 治療前に費用の目安を丁寧にご説明いたしますのでご安心ください。

Q:治療後のメンテナンスはどれくらいの頻度で通えばいいですか?

A:3〜6ヶ月ごとの定期検診をおすすめしています。歯周病は再発しやすい病気のため、定期的なクリーニングがとても大切です。

Q:歯周病は全身の病気にも関係があると聞きましたが本当ですか?

A:歯周病の多くは保険診療で行えます。 ただし、再生療法・レーザー治療など一部は自費となる場合があります。 治療前に費用の目安を丁寧にご説明いたしますのでご安心ください。

気になったら、早めの受診を

歯周病は、痛みが少ないうちに進行していくため、「忙しいから後でいいか…」が一番危険です。 症状が軽いうちに治療・予防を始めれば、歯を失うリスクを下げられる、治療期間・費用・痛みの負担も少なくできるといった大きなメリットがあります。

グラン岡山歯科・矯正歯科では、 **「できるだけ抜かない・しっかり説明・丁寧な歯周病治療」**を大切にしています。 歯ぐきや口臭が少し気になる程度でも、どうぞお気軽にご相談ください。

岡山市北区の歯医者【グラン岡山歯科・矯正歯科】
ご予約 お問合せ|岡山市北区の歯医者【グラン岡山歯科・矯正歯科】
初診専用 24時間 web予約|岡山市北区の歯医者【グラン岡山歯科・矯正歯科】