スライダー画像1|岡山市北区の歯医者【グラン岡山歯科・矯正歯科】インプラントから虫歯治療まで幅広く対応 スライダー画像1|岡山市北区の歯医者【グラン岡山歯科・矯正歯科】インプラントから虫歯治療まで幅広く対応
スライダー画像2|岡山市北区の歯医者【グラン岡山歯科・矯正歯科】インプラントから虫歯治療まで幅広く対応 スライダー画像2|岡山市北区の歯医者【グラン岡山歯科・矯正歯科】インプラントから虫歯治療まで幅広く対応
スライダー画像3|岡山市北区の歯医者【グラン岡山歯科・矯正歯科】インプラントから虫歯治療まで幅広く対応 スライダー画像3|岡山市北区の歯医者【グラン岡山歯科・矯正歯科】インプラントから虫歯治療まで幅広く対応

フルオーダーメイド
マウスピース矯正
【インビザライン】

Invisalign

マウスピース矯正(インビザライン)

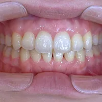
ほとんど気づかれずに、理想の歯並びへ

これまで矯正治療といえばワイヤーを使ったものが主流でしたが、オーダーメイドのマウスピースを使用した【インビザライン】という矯正治療が注目されています。透明で目立たないマウスピース矯正(インビザライン)は、「矯正は目立つから…」と迷っていた方にも選ばれている矯正治療です。

従来のワイヤー矯正とは異なり、透明で取り外し可能・痛みが少ない・生活になじむ という多くのメリットがあり、仕事・プライベートの両方を大切にしながら治療を進められます。透明なので装着中も目立たない、痛みが少ない、簡単に取り外しができるなど、さまざまなメリットがあります。

当院では、3Dシミュレーションを使った丁寧な診断で、治療後の歯並びを事前に確認しながら安心してスタートできる環境を整えています。

マウスピース矯正 インビザライン|岡山市北区の歯医者【グラン岡山歯科・矯正歯科】インプラントから虫歯治療まで幅広く対応

インビザラインとは?

これまで矯正治療といえばワイヤーを使ったものが主流でしたが、オーダーメイドのマウスピースを使用した【インビザライン】という矯正治療が注目されています。透明で目立たないマウスピース矯正(インビザライン)は、「矯正は目立つから…」と迷っていた方にも選ばれている矯正治療です。

従来のワイヤー矯正とは異なり、透明で取り外し可能・痛みが少ない・生活になじむ という多くのメリットがあり、仕事・プライベートの両方を大切にしながら治療を進められます。透明なので装着中も目立たない、痛みが少ない、簡単に取り外しができるなど、さまざまなメリットがあります。

当院では、3Dシミュレーションを使った丁寧な診断で、治療後の歯並びを事前に確認しながら安心してスタートできる環境を整えています。

マウスピース矯正 インビザライン|岡山市北区の歯医者【グラン岡山歯科・矯正歯科】インプラントから虫歯治療まで幅広く対応

インビザラインは世界で400万人の患者さまが利用しているマウスピース矯正治療です。

1997年にアメリカで、2006年に日本でスタートし、マウスピース矯正の中で唯一多くの特許を取得しています。透明なマウスピースを使用した見えない矯正なので、 治療中もほとんど目立つことがありません。

矯正治療の最大のデメリットであった「見た目の問題」を大きく解消してくれています。目立つ矯正治療を望まない方に最適で、キャビンアテンダントやアナウンサー、俳優など、人前に立つことを仕事にしている方からも支持されています。 また、金属を使用しないため、金属アレルギーの患者さまにも安心して使用することができる体に優しい治療法です。

痛みの少ない矯正治療

「矯正=痛い」というイメージをお持ちの方も多いのではないでしょうか。ワイヤー矯正は歯に強い力を加えるので、歯や顎の骨にかかる圧力も強くなるため、痛みも強くなることが多いです。

インビザラインはワイヤー矯正よりもゆっくりと歯を動かします。 歯を移動する際にかかる力が緩やかなので、強い痛みを感じることが少ないと言われています。また、ワイヤー矯正に使用する装置は金属です。金属は口の中の粘膜を強く刺激するため、痛みとして感じられるのです。

インビザラインは透明なプラスチックでできておりかなり薄いので、金属でできたワイヤーに比べ、口の中の不快感や刺激が少ないのが特徴です。インビザラインの痛みが少ないのは、歯を動かす力が穏やかであることと、素材が関係しています。

取り外しが可能な矯正治療

マウスピース矯正の最大のメリットは、取り外しが可能なことです。そのため、食事の際は取り外して、矯正前と同じように楽しむことができます。マウスピースと歯の間に食べ物が挟まる心配もありません。また、歯磨きも従来通り行えますので、衛生面でも優れています。

装着していてもほとんど気になりません。マウスピースの厚さはわずか0.5mmなので、舌に当たってしゃべりにくくなったり、口内炎ができたりする心配もありません。最初はお口の中に何かが入っているという違和感があるかもしれませんが、だんだん慣れてきて気にならなくなります。

金属アレルギーの方にも安心の矯正治療

従来の矯正治療と比べ、お体への負担が少ないこともインビザラインの特徴の1つです。

金属を使用しないので、金属アレルギーの方にも安心です。また舌や粘膜を傷つけたり、口内炎を起こす心配がほとんどありません。ワイヤーを使って歯を動かす場合、動かす歯の隣の歯に大きな負担がかかりますが、インビザラインでは歯全体に力がかかるので、歯へのダメージが少なくなります。

またインビザラインは、CTや骨格解析ソフトで骨格を解析し、歯の大きさを精密に計測し、写真を撮ります。それをもとに最も効率的な歯の動かし方をシミュレーションし、治療計画を立てます。歯の移動を予測しながら必要最小限の力で歯並びを調整していきます。そのため、矯正治療特有の痛みや違和感を軽減できます。その結果、痛みや違和感を最小限に抑えて歯を動かすことが可能になりました。

インビザライン 金属アレルギーの方に|岡山市北区の歯医者【グラン岡山歯科・矯正歯科】インプラントから虫歯治療まで幅広く対応

シミュレーション計測のためのデータは、それまでに実際に治療した歯の動きをもとに、常に更新されます。これまでインビザラインは全世界で1400万人以上(2023年2月現在)のデータを蓄積しており、計測の精度は高いと言われています。

抜歯矯正にも対応の矯正治療

これまで、マウスピース型の矯正装置は、抜歯矯正には不向きとされていました。なぜなら、歯を前後左右に動かすのに不向きだったからです。しかし、インビザラインは多くのケースで応用が可能です。

現在のアライナーは、ポリウレタンから作られたスマートトラックという材料で作られており、従来のアライナー素材よりも粘弾性が高く、歯とのフィット感が高いのが特徴です。この粘弾性のある素材によって、歯が前後に動くようになりました。これにより、抜歯したスペースを埋めるように歯が動くようになりました。

通院回数が少ない、診察時間が短い矯正治療

ワイヤー矯正の通院頻度は3〜4週間に1回ですが、インビザラインの通院頻度は1ヶ月〜2ヶ月に1回です。忙しい方でも、少ない通院回数で矯正治療が受けられます。

また、インビザラインはワイヤーを調整する時間が必要ないため、1回の診察にかかる時間が短くなります。初診時検査と前処置が終わったら、それ以降の診察は15分程度で終了します。

マウスピース矯正 通院回数が少ない 診察時間が短い|岡山市北区の歯医者【グラン岡山歯科・矯正歯科】インプラントから虫歯治療まで幅広く対応

インビザラインのデメリットは?

ワイヤー矯正の場合、取り外しは歯科医院で行う必要がありますが、インビザラインのマウスピースは患者さまご自身で簡単に取り外しが可能です。1日20時間以上マウスピースを装着しないと、歯が計画通りに動かず、治療が失敗に終わります。設定した時間を守るためには、患者さまご自身が自己管理することが必要です。

「取り外し可能 」というのはインビザラインの大きなメリットですが、それゆえにデメリットにもなり得ます。また、マウスピースを装着したまま食事はできません。毎回食事のたびに脱着してください。また、装着中は色のついた飲み物は飲めません。透明なマウスピースに溜まってしまい、歯が変色して見えてしまうことがあります。

歯を磨くときは、マウスピースの洗浄をする必要があります。

→ 矯正相談室はこちら

インビザラインの症例紹介

「当院のマウスピース矯正の特徴」

①月々4,700円~でできるインビザライン矯正

一人でも多くの方に治療を受けていただき、見た目が変わる喜びを体験して欲しい。そのような思いのもと、上下の歯の矯正治療が475,000円〜の費用でご提供しています。

デンタルローンの分割払いを使えば月々4,700円〜と、さらにご負担を抑えることも可能です。

②前歯の歯並びと奥歯の噛み合わせ インビザラインで同時に治療

当院では前歯の歯並びを矯正するだけでなく、同時に奥歯の噛み合わせの矯正もご提供しております。奥歯のかみ合わせを治すことで、首や肩のコリ、頭痛が治る可能性や将来的な虫歯のリスクを減らせる可能性があります。

③院長もスタッフも矯正患者だったからわかる患者様の気持ち

インビザラインでの矯正を院長自身が体験し、効果や課題を確認したからこそ、患者様の不安や疑問に共感したアドバイスができます。スタッフも経験者なので安心してお気軽にご相談ください。

④当院のランク

当院はプラチナプロバイダーに認定されており、多くの治療実績がございます。

プラチナプロバイダー 治療実績|岡山市北区の歯医者【グラン岡山歯科・矯正歯科】インプラントから虫歯治療まで幅広く対応 当院のランク マウスピース矯正|岡山市北区の歯医者【グラン岡山歯科・矯正歯科】インプラントから虫歯治療まで幅広く対応

⑤インビザラインダイヤモンドプロバイダーと連携

インビザライン社から上位ランクの「ダイヤモンドプロバイダー」に認定された歯科医師と連携し、歯並びの乱れが重度の方にも納得の行く治療をご提供しています。

⑥嚙み合わせのプロフェッショナル

当院の院長は日本顎咬合学会の「咬み合わせ認定医」です。厳格な審査条件を満たした上で、厳しい試験をパスした一部の歯科医師にのみ与えられる資格です。顎や人体の骨格、その他の器官全般に関する高度な知識と深い経験をもとに矯正治療を提供いたします。

⑦3Dシミュレーションを用いた“正確な治療計画”

当院では、口腔内スキャナーで取得したデータをもとに、矯正後の歯並びを3Dシミュレーションで事前に確認していただけます。 「どれくらい歯が動くのか」「横顔の印象はどう変わるか」など、 治療開始前にしっかりイメージできるため、不安を解消しながら納得して矯正をスタートできるのが大きな特徴です。

また、シミュレーションを見ながら患者さまのご希望に合わせて微調整でき、治療計画の精度と満足度を高めることができます。

⑧虫歯治療・ホワイトニングも院内で完結

矯正中は虫歯や歯ぐきの炎症が起こりやすいため、矯正と一般歯科を同時に診られる体制が非常に重要です。当院では、

・虫歯治療

・クリーニング・歯周病ケア

・ホワイトニング

など、矯正以外の治療もすべて院内で完結できます。そのため、矯正中に虫歯が見つかってもスムーズに対応でき、治療が中断する心配もありません。また、矯正で歯並びが整ったあとにホワイトニングを行うことで、より美しい笑顔をトータルでサポートできるのも当院ならではの強みです。

⑨その他、様々な割引制度

多くの患者様に矯正治療を受けていただき、自信を持って笑ってほしいという思いから、様々な割引制度を導入しております。詳しくは料金ページをご参照ください。

まずはお気軽にご相談ください

「自分の歯並びでもできる?」「どれくらい変わる?」 そんな疑問をスキャンデータを使って“見える化”しながら丁寧に説明します。インビザラインを検討中の方、まずは無料相談へお越しください。 理想の歯並び・きれいな口元を一緒に目指しましょう。

治療の流れ

1

初回カウンセリング・光学3Dスキャナー(ITeroにて)

【カウンセリング60分】・パノラマ・拡大鏡を用いた口腔内検査・Iteroによる簡易分析。これらのデータをもとに矯正治療の前に必要な処置及び矯正治療の予測シミュレーションをお話します。

2

精密検査

・セファロ撮影・矯正用レントゲン・CTによる骨の厚み、顎関節形状、気道の確認・ITeroによる精密スキャン などCTおよび分析ソフトを利用した骨格の分析や、精密な歯の大きさの測定・写真撮影を行い、それらをもとに治療計画を立てます。3Dシュミレーションや矯正後のお顔のイメージを作成いたします。

3

術前治療

矯正治療を行う前に、虫歯や歯周病の治療が必要な状態や親知らず抜歯が必要な場合には、そちらの治療を優先しないといけない場合もあります。

4

治療計画・シミュレーション

患者様の歯を1本1本0.1mm~0.1度単位で3D模型上で動かし、ゴールまでのシミュレーションを計画します。

5

治療開始

マウスピースの装着や取り外しのレクチャー、また治療中の注意点などについてもご説明いたします。写真は、アタッチメント(マウスピースが歯に加える力を調整するためのもの)接着時の様子です。治療開始後は1~2か月に一度受診していただきます。

6

治療終了

矯正治療終了後、患者様に合わせた被せものや詰めものインプラント治療を行ないます。またご希望に応じて歯茎のラインを整えたりホワイトニングで歯を白くすることも可能です。

7

保守~メンテナンス

全ての治療が終わった後は、動かした歯が元の位置に戻ろうとする「後戻り」を防ぐため、最終的な歯並びのマウスピースを1~2年間使用していただきます。3~4ヶ月に1度クリーニング・メンテナンスにお越しいただきます。

よくあるご質問

Q:目立ちませんか?

A:透明なマウスピースを使用するため、近くで見ない限りほとんど気づかれません。職場・学校・写真撮影でも自然に過ごせるのが人気の理由です。

Q:食事や歯磨きは普段通りできますか?

A:はい。マウスピースは取り外し可能なので、食事制限は不要です。歯磨きもしやすいため、矯正中の虫歯のリスクを減らせます。

Q:痛みはありますか?

A:新しいマウスピースに交換した数日間、軽い締め付け感が出ることがありますが、ワイヤー矯正に比べると痛みはかなり少ないと言われています。

Q:どれくらいの期間で治りますか?

A:部分矯正なら数ヶ月、全体矯正なら1〜2年が目安です。 歯並びの状態や治療計画によって個人差があります。

Q:装着時間20時間を守れないとどうなりますか?

A:規定時間を下回ると歯が計画通りに動かず、治療が遅れたり追加のマウスピースが必要になることがあります。忙しい方でも続けやすいよう、生活スタイルに合わせたサポートを行います。

Q:マウスピース矯正で治せないケースもありますか?

A:はい。大きな骨格の問題がある場合などは、ワイヤー矯正の方が適していることがあります。当院では、精密検査で正確に診断し、最適な治療方法をご提案します。

Q:費用はどのくらいかかりますか

A:歯並び・治療範囲・マウスピースの枚数によって異なります。精密検査後に治療計画とともに明確にご説明いたしますので、ご安心ください。

Q:費用はどれくらいかかりますか?

A:装置の種類や治療期間によって異なります。診断後に明確な費用をご説明し、ご納得いただいてから治療を開始します。

Q:マウスピースを紛失した場合はどうすればいいですか?

A:すぐにご連絡ください。状態に応じて新しいマウスピースを作製したり、前の段階のものを使用して経過を調整します。

Q:通院はどれくらい必要ですか?

A: 1〜2ヶ月に1回の来院が目安です。歯の動きや装着状況の確認、虫歯予防などを行います。

まずはお気軽にご相談ください

「自分の歯並びでもできる?」「どれくらい変わる?」 そんな疑問をスキャンデータを使って“見える化”しながら丁寧に説明します。インビザラインを検討中の方、まずは無料相談へお越しください。 理想の歯並び・きれいな口元を一緒に目指しましょう。

岡山市北区の歯医者【グラン岡山歯科・矯正歯科】
ご予約 お問合せ|岡山市北区の歯医者【グラン岡山歯科・矯正歯科】
初診専用 24時間 web予約|岡山市北区の歯医者【グラン岡山歯科・矯正歯科】