審美歯科とは
従来の歯科治療が「虫歯や歯周病などの病気を治すこと」を目的としているのに対し、審美歯科は「美しさと健康の両立」を目的としています。
当院では、患者様の満足度を高めるため、美しさと機能性を重視した治療を行っています。審美歯科治療を通じて、健康で美しい口元と笑顔を手に入れ、その美しさを維持することで、患者さまの人生をより豊かなものにしていただくことを目指しています。
最新機器のマイクロスコープ(歯科用の顕微鏡)を
使用しています
歯と詰め物や被せ物の適合が悪いと、境界に隙間ができてしまい、そこから虫歯になる可能性があります。また、歯と歯茎の境界線がきちんと揃っていないと、被せ物が美しく見えないため、治療の際には被せ物の土台となる歯を丁寧に削ることが重要です。
そこで当院では、最新機器のマイクロスコープ(歯科用の顕微鏡)を使って、患部を細部まで確認しながら、丁寧に治療を行っています。患部を拡大し、確認しながら歯を削るので、細かく形を調整することができ、フィット感のある詰め物や被せ物を作ることができるのです。そうすることで見た目も美しく長持ちします。
院内技工室を備えています
院内には歯科技工室があり、経験年数20年以上(※)の歯科技工士が在籍しています。自費のほとんどの詰め物や被せ物は、院内で作ることができます。
また治療の際には、技工士が直接立ち会います。患者さまのご希望を伺い、歯の形や色を確認しながら、自然で美しい被せ物や詰め物を作ります。
セレックシステムを
導入しています
3D光学カメラでお口の中をスキャンし、その情報をもとにコンピューター上で、詰め物や被せ物の設計を行います。そして専用の機械でセラミックを自動で削り出して製作します。
歯科技工所に製作を委託する必要がないため、短時間で完成し、その日のうちに治療を終えることができます。また、型取りの必要がないため、型取りが苦手な方でもセレックシステムなら安心です。また、歯型はコンピューターにデータとして記録されるため、歯型模型のように劣化する心配もありません。
当院では、このセレックシステムで製作したセラミックの被せ物や詰め物など、さまざまな治療プランをご用意しています。患者さまのお口の状態やご要望に応じてご提案させていただきますので、どうぞお気軽にご相談ください。
5年間の保証つき
当院では、白い被せ物や詰め物について、5年間の保証をお付けしています。
ただし、当院指定のメンテナンスに通院いただいている方に限らせていただきますので、必ず定期的にメンテナンスにご来院ください。
当院で提供している
材質について
ハイブリッド型セラミックス
セラミックは透明で歯とよく似た質感の素材ですが、割れやすいため、歯ぎしりをする患者さまには使えません。
ハイブリッド型セラミックスは、セラミックにプラスチックを混ぜることで、見た目のきれいさはそのままに、硬さとやわらかさを両立させた素材です。
またハイブリッド型セラミックスは、金属を一切使用していないため、金属アレルギーの患者さまにも安心してお使いいただけます。
ただし、長期間使用すると少しずつ変色することがありますので、全く変色しないセラミックと同じとは言えません。適切に使用することで、手頃な価格で白く美しい歯を手に入れることができます。
当院では、現在インレーのみの適用材料です。
オールセラミックス
オールセラミックスは、歯に審美的効果をもたらす治療としてよく知られています。
歯の被せ物や差し歯などに使用され、その透明度と強度は天然歯と同等かそれ以上です。
また、形を自由に作ることができるため、不自然さがなく周囲の歯に溶け込み違和感がなく、治療前の歯よりもきれいな状態にすることができます。
特に前歯などの審美性を高める治療に向いています。また、金属を使用しないので、金属アレルギーの方にも適しています。
ジルコニア
金属やプラスチックを一切含まないセラミック素材です。透明度が高く、ダイヤモンドに近い高い屈折率を持つため、模造ダイヤモンドとも呼ばれています。
セラミックの中で最も強度が高く、優れた審美性・耐久性があります。
また、ジルコニアは非常に硬いため、噛んでも欠けにくいので、奥歯など力のかかる部分に適しています。
メタルボンド
内側に金属を使用し、外から見える部分だけにセラミックを使用した被せ物です。虫歯などで欠けた歯をカバーする際に、より耐久性を持たせるために使用します。
セラミックに比べると自然な美しさという点ではやや劣ると言わざるを得ませんが、色調の変化もなく、その美しさを長期間にわたって維持することができます。
しかし、内側の金属部分の面積が大きいため、歯茎が痩せてくると金属が見えてきます。
そのため、お口の状態によっては見た目の美しさを保てない場合があります。
また、硬い点はメリットですが、その硬さゆえに他の歯を傷つけてしまう可能性があり、その点もデメリットと言えます。
料金表
インレー(歯の詰め物)
オールセラミックスインレー(小臼歯) | 55,000円(税込) |
---|---|
オールセラミックインレー(大臼歯) | 66,000円(税込) |
ゴールドインレー(小臼歯) | 時価 |
ゴールドインレー(大臼歯) | 時価 |
クラウン(歯の全体の被せ物)
ジルコニアクラウン(前歯) | 124,000円(税込) |
---|---|
ジルコニアクラウン(臼歯) | 99,000円(税込) |
オールセラミッククラウン(前歯) | 110,000円(税込) |
オールセラミッククラウン(臼歯) | 99,000円(税込) |
ゴールドクラウン | 時価 |
ファイバーコア(神経のない歯の補強材)
前歯 | 11,000円(税込) |
---|---|
小臼歯 | 16,500円(税込) |
大臼歯 | 22,000円(税込) |
ラミネートベニア(歯の表面に貼り付けるセラミックス)
セラミックスラミネートベニア | 84,000円(税込) |
---|
ダイレクトボンディング
ダイレクトボンディング | 34,000円(税込) |
---|---|
2窩洞目から1窩洞につき | +15,000円(税込) |
症例写真
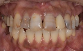
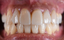
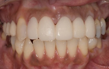
40代女性 変色した前歯や仮歯のまま放置していた部位などをセラミッククラウンを用いて改善した症例


ご相談内容
「痛みはないが、上の歯が変色しているのが気になる。また、上の歯には数年間仮歯のままにしている部分もあるので診てほしい」とご相談いただきました。
カウンセリング・診断結果
拝見したところ、噛み合わせの位置関係を示す「顎位」は安定していましたが、全体的に不適合な修復物や虫歯が認められます。
過去に歯の神経の治療「根管治療」が行われている歯は、歯根の先に炎症が起きて膿が溜まる「根尖(こんせん)病変」が生じている状態でした。
このままでは、歯を支える周囲の骨にまで炎症が広がり、歯の温存が難しくなります。
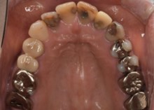
また、右上の第1小臼歯と第2小臼歯には歯科用プラスチックの仮歯「テンポラリークラウン」が装着されていました。
テンポラリークラウンのまま治療を中断してしまうと、プラスチックがすり減って噛み合わせが悪くなったり、歯茎に炎症が起きる「歯周病」や虫歯が生じたりするリスクが高まります。
以上のことから、変色している前歯だけでなく、根尖病変の治療や最終的な被せ物の作製など、全体的な治療を行う必要があると診断しました。
行ったご提案・治療内容
根尖病変を起こしている歯について、再度根管治療を行う必要があることをお伝えし、その後の修復方法として以下の3つを提案しました。
- 1
-
金属フレームの表面に「硬質レジン」と呼ばれるプラスチックを貼りつけた被せ物「レジン前装冠」
保険診療内の治療なので費用を抑えられますが、プラスチック部分は経年劣化で変色しやすい点と、金属製の内側は口を大きく開けると目立ちやすい点がデメリットです。
- 2
-
適度な強度と白さを兼ね備えた白い被せ物「CAD/CAM冠」
こちらも保険診療内の治療なので費用を抑えられますが、全体がプラスチックでできているため傷がつきやすく、割れるリスクもあります。また、経年劣化しやすい点もデメリットです。
- 3
-
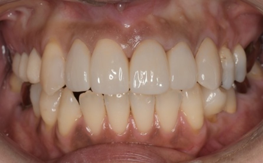
透明感があり自然な白さが再現できる白い被せ物「セラミッククラウン」
セラミックは強度と審美性が高いのが特徴ですが、自費診療なのでほかの治療と比べて費用がかかります。
それぞれの治療について丁寧にお伝えしたところ、患者様は「長期間審美性を維持できる素材がいい」との理由から、セラミッククラウンを希望されました。
まずは、歯の汚れを取り除いて歯茎の状態を安定させる「歯周基本治療」を行います。
次に、上顎小臼歯部と前歯部にゴム製のシート「ラバーダム」を被せて治療部位のみを露出させ、歯の神経が通る「根管」の内部に唾液や細菌などが入るのを防いでから、根管治療と虫歯治療を丁寧に施しました。
虫歯治療後は、被せ物を装着する土台とするために歯の形を整えます。
その際、治療開始時に装着されていたテンポラリークラウンは除去し、より精密に作製した仮歯「プロビジョナルレストレーション」を新しく装着しました。
プロビジョナルレストレーションには、以下の役割があります。
・審美性の回復
・噛み合わせの改善
・歯茎の状態の回復
また、最終的な被せ物に移行するまでの期間、口腔内になじませることも目的のひとつです。
口腔内の状態が安定して経過も良好であると判断できたタイミングで、最終的な被せ物に近い形の新たなプロビジョナルレストレーションに作り替えます。その後、審美性、機能性、清掃のしやすさに問題がないことを確認し、最終的な被せ物の型取りへと移りました。
型取りは口腔内スキャナーで歯の形を3Dデータ化する「光学印象」を用いて治療時間を短縮し、患者様の負担軽減を図っています。
その後、完成したセラミッククラウンを装着して治療を終了しました。
この治療のリスクについて
- ・
- 治療中まれに器具の破折、被せ物や詰め物など修復物の損傷、歯の破折が起こる場合があります
- ・
- 治療中に痛みを伴う場合があります
- ・
- セラミックの装着に際し、天然歯を削る必要があります
- ・
- 硬い素材の場合、他の天然歯を傷つけることがあります
- ・
- 噛み合わせや歯ぎしりが強い場合、セラミックが割れる可能性があります
- ・
- 治療後に正しい歯磨きやメンテナンスを怠ると、虫歯が再発する場合があります
年齢・性別 | 40代女性 |
---|---|
診療種別 | 自由診療(一部保険適用) |
治療期間の目安 | 約半年 |
治療回数の目安 | – |
治療費総額の目安 | 約889,000円(セラミッククラウン、光学印象、仮歯費用、根管治療) |
治療前

治療中

治療中の様子:プロビジョナルレストレーション(1回目)
治療後



治療中の様子:プロビジョナルレストレーション(2回目)